概要
- 門脈ガスは腸管壊死を示唆する予後不良な因子と考えられている
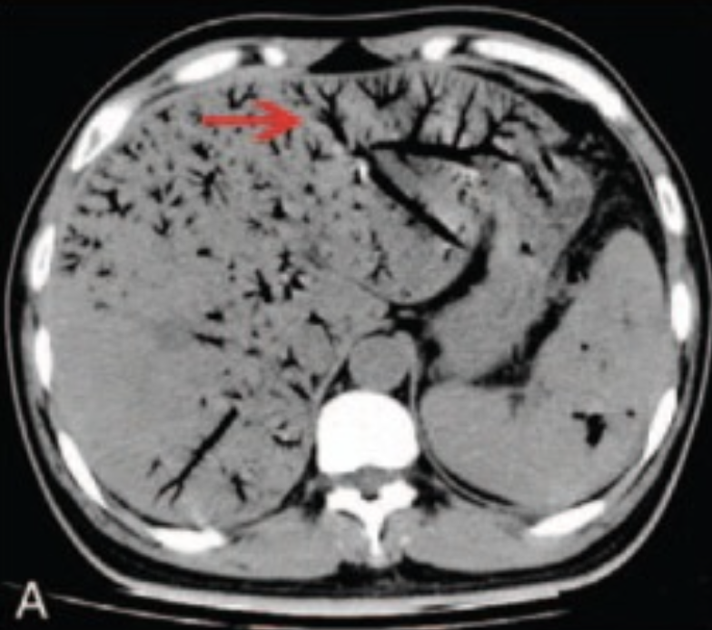
- ガスは主に肝内門脈に見られ門脈気腫などとも言われる


- 胆道気腫と鑑別の方法は分布の仕方である。門脈ガスは門脈血流に従い肝臓の辺縁2cm以内に細かい樹枝状に分布し重力に従い肝左葉→右葉前区域→右葉後区域へ分布する
- 腸管気腫がなければ腸管虚血以外が原因かもしれないため門脈気腫がある場合には腸管気腫を探す必要がある
原因

- 腸管壊死 43-70%
- 腸管拡張、イレウス、腸閉塞など 9-12%
- 腸炎 8-16%
- 敗血症 7-11%
などなど、、
参考文献
Medicine (Baltimore). 2017 Dec;96(50)
Ulster Med J. 2012 May;81(2):74-8

コメント