顔面打撲の患者で眼瞼周囲の腫脹が激しく瞳孔や眼球運動の評価ができない患者が居ました。上の先生から「眼球エコーをしてみれば?」と言われ眼球エコーについて調べて見ました。
はじめに
- 救急外来を受診する約3%が眼の損傷に関連しており、結膜炎から視力を脅かす重症例まで様々である
- 眼球超音波検査(OUS:Ocular Ultrasonography)は直接検査をすることが難しい重度な眼周囲組織損傷がある場合(白内障、眼周囲浮腫など)に迅速、安全に行うことができる検査手段である
- 網膜剥離の検出は感度97-100%、特異度83-96%を示し、硝子体出血の検出は感度81.42%、特異度82.96%とされる
正常眼球解剖


実際にエコーを当てる際のポイント
①リニアプローブを使用する
②検査前に閉眼状態で透明なドレッシング剤を貼付する
③エコーゼリーを十分に塗布する
④プローブは軽く当てて圧迫は避ける


Cristallyne:水晶体、VC(Vitreous chamber):硝子体腔、Retina:網膜、Optic nerve:視神経
Builes, Santiago Vasquez, Gonzalez, et al. Using point-of-care ultrasound in ocular emergencies: A mini review. Journal of Acute Disease 9:p 190-193, September 2020. より引用
異常所見
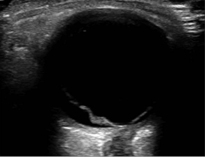
網膜剥離(Retinal Detachment)

Lahham S, Shniter I, Thompson M, et al. Point-of-Care Ultrasonography in the Diagnosis of Retinal Detachment, Vitreous Hemorrhage, and Vitreous Detachment in the Emergency Department. JAMA Netw Open. 2019 Apr 5;2より引用
- 高輝度の膜状構造物として描出される
- 網膜が硝子体腔内で波打つように浮遊する像が特徴的
硝子体出血(Vitreous Hemorrhage)

Lahham S, Shniter I, Thompson M, et al. Point-of-Care Ultrasonography in the Diagnosis of Retinal Detachment, Vitreous Hemorrhage, and Vitreous Detachment in the Emergency Department. JAMA Netw Open. 2019 Apr 5;2より引用
- 眼球の動きに合わせて移動する低〜中等度エコー輝度の浮遊物として描出
- 出血の程度によって様々な輝度を示す
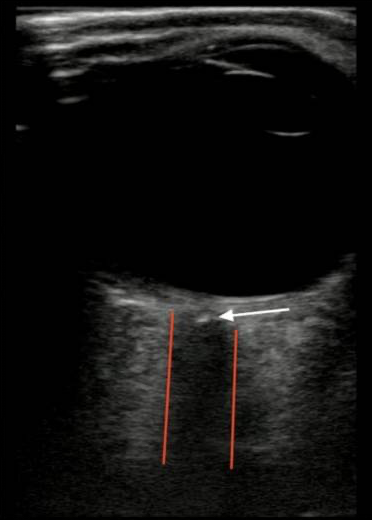
視神経乳頭浮腫(Papilledema)

Builes, Santiago Vasquez, Gonzalez, et al. Using point-of-care ultrasound in ocular emergencies: A mini review. Journal of Acute Disease 9:p 190-193, September 2020. より引用
- 視神経鞘径の拡大が見られる
- 正常値は5mm以下で超えると頭蓋内圧亢進を示唆する
網膜中心動脈閉塞症(Central Retinal Artery Occlusion:CRAO)

Cozzi N, Stevens K, Pillay Y, et al. Diagnosis of Central Retinal Artery Occlusion in the Emergency Department Using POCUS: A Case Series. POCUS J. 2021 Nov 23;6:73-75.より引用
- カラードップラーを乗せることで動脈、静脈の血流を評価可能
- 視神経にSpot sign(Retrobulbar spot sign:RBSS)を認める場合がある
- RBSSを認めた場合にはCRAOに対して特異度100%
眼球内異物

Feldman M, Shigyo K, Kaji A: Intraocular foreign body: ultrasound and CT findings . J Educ Teach Emerg Med. 2017, 28-30. より引用
- 上図の赤矢印は金属片
- CTの代替診断ツールとして使用できるかも?
- 高エコー構造として描出され硝子体出血を示唆する線状エコーを伴う場合がある
注意点
- 眼球破裂が疑われる場合1stの検査はCTであり、エコーは基本禁忌

Hallinan JT, Pillay P, Koh LH, et al. Eye Globe Abnormalities on MR and CT in Adults: An Anatomical Approach. Korean J Radiol. 2016 Sep-Oct;17:664-73.
- 上図は眼球外傷後のCTであり、左眼球強膜の輪郭が完全に失われている
終わりに
- 外傷後の眼瞼腫脹によって十分に眼球が観察できない場合には眼球エコーが有用そう
- 頭蓋内圧亢進度合いを評価し心停止蘇生後の予後予測に使える可能性もあるみたいなので調べます
参考文献
Alsulami RR, Almutairi JA, Almatrafi MI, et al. Expanding Ocular Care in the Emergency Department: A Comprehensive Review of the Utility of Point-of-Care Ultrasound for Ocular Emergencies. Cureus. 2024 Nov 27;16
Builes, Santiago Vasquez, Gonzalez, et al. Using point-of-care ultrasound in ocular emergencies: A mini review. Journal of Acute Disease 9:p 190-193, September 2020.
Lahham S, Shniter I, Thompson M, et al. Point-of-Care Ultrasonography in the Diagnosis of Retinal Detachment, Vitreous Hemorrhage, and Vitreous Detachment in the Emergency Department. JAMA Netw Open. 2019 Apr 5;2.
Feldman M, Shigyo K, Kaji A: Intraocular foreign body: ultrasound and CT findings . J Educ Teach Emerg Med. 2017, 28-30.
Cozzi N, Stevens K, Pillay Y, et al. Diagnosis of Central Retinal Artery Occlusion in the Emergency Department Using POCUS: A Case Series. POCUS J. 2021 Nov 23;6:73-75.
Hallinan JT, Pillay P, Koh LH, et al. Eye Globe Abnormalities on MR and CT in Adults: An Anatomical Approach. Korean J Radiol. 2016 Sep-Oct;17:664-73.


コメント